NaturalSmileMakeover
A complete reinvention of your smile—crafted to perfection, designed to look entirely natural.
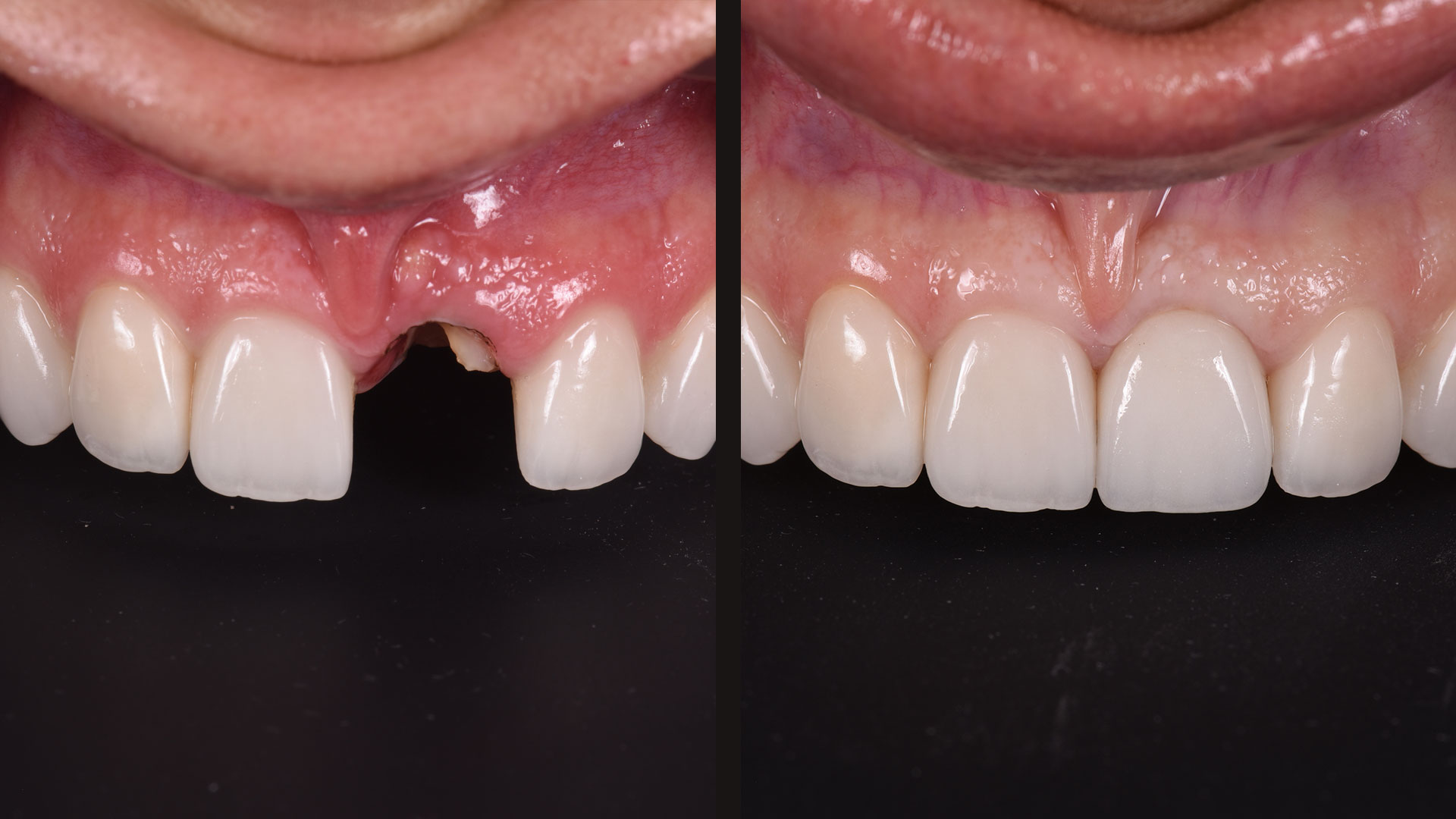
A Natural Smile Makeover is more than just a cosmetic upgrade—it’s a transformational experience. Each smile is created with artistic sensitivity, clinical precision, and a deep understanding of facial harmony. From the initial consultation to the final refinement, your journey is personalized to enhance not just your teeth, but your confidence and self-expression.
Dr. Montalvo combines the latest in digital smile design, biomimetic materials, and minimally invasive techniques to achieve results that are elegant, functional, and unmistakably yours. Perfect for those seeking a sophisticated, high-level aesthetic transformation with a natural finish.
Design Process
01Inspiration
The emotional and visual discovery: The journey begins with an in-depth consultation where the patient's personal style, desires, and emotions are explored. This stage is about understanding the essence of the smile that feels natural and authentic to them.
02Creation
The functional and artistic sculpting. Guided by his artistic vision and years of clinical experience, David carefully shapes each smile to achieve both functional and aesthetic excellence. His approach balances science and artistry, ensuring natural facial harmony while restoring full oral function.
03Expression
The final, personalized reveal and integration: The last step is the reveal of the new smile, perfectly integrated into the patient’s facial features. Through detailed refinement, the final smile is revealed, enhancing the patient’s natural beauty and confidence.
Our signature approach includes
Direct Smile Design
Visualize your new smile before we begin—personalized, precise, and digitally crafted.
Adhesive Full-Mouth Rehabilitations
Restore function and beauty while preserving as much of your natural tooth structure as possible.
Veneers & Ceramic Restorations
Ultra-customized ceramic restorations that blend seamlessly with your natural dentition, enhancing both aesthetics and long-term oral health.
Ready to begin your own smile transformation?
Contact me today or book your consultation. I’m here to help you smile with confidence.





