Immediate Implant and Soft Tissue Preservation After Central Incisor Trauma
The process
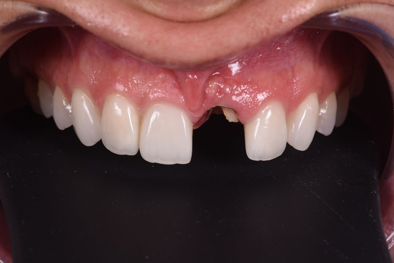
This patient came to us after suffering a traumatic fracture of her upper left central incisor. Unfortunately, the tooth was beyond repair. Given the esthetic importance of the area and the patient’s desire for a natural, lasting result, we developed a carefully planned, minimally invasive treatment approach.
We began with an atraumatic extraction using a surgical device specifically designed to preserve both the surrounding bone and soft tissue. Immediately after the extraction, we placed a dental implant in the same position and stabilized it with a temporary crown — fabricated using the patient’s own natural tooth to perfectly match the shape, size, and color.
To optimize long-term esthetics and maintain natural gum contours, we simultaneously performed:
- Bone grafting using a biomaterial to support the socket
- A connective tissue graft harvested from the patient to preserve the gingival profile and volume
Final result
Once healing was complete, the final ceramic crown was placed — blending seamlessly with the surrounding dentition and restoring both function and esthetics with exceptional precision.
This case illustrates the power of interdisciplinary implant dentistry — combining surgical accuracy, soft tissue management, and restorative artistry for a result that looks and feels completely natural.
