Full Smile Makeover with Porcelain Veneers and Gum Contouring
The process
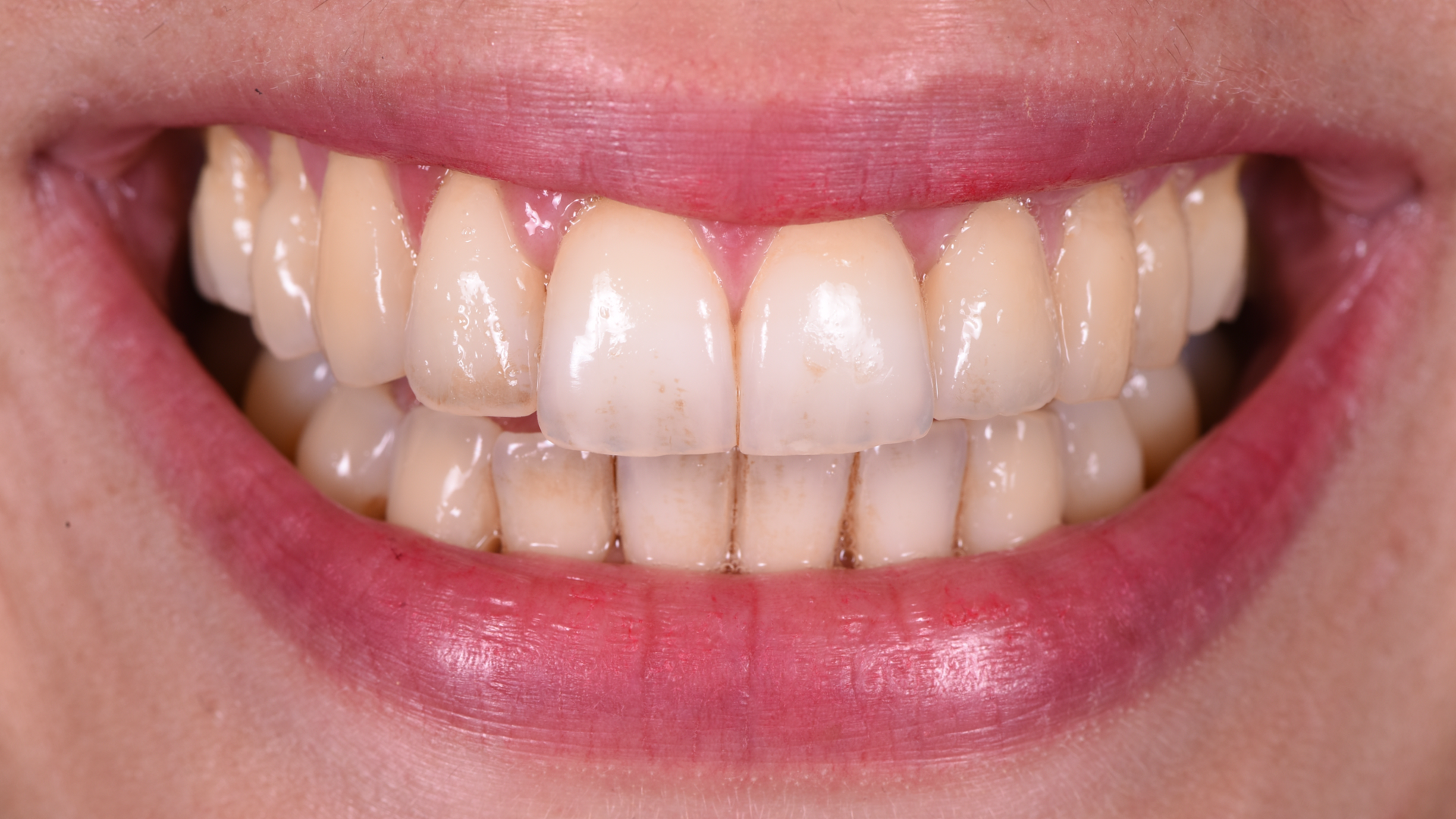
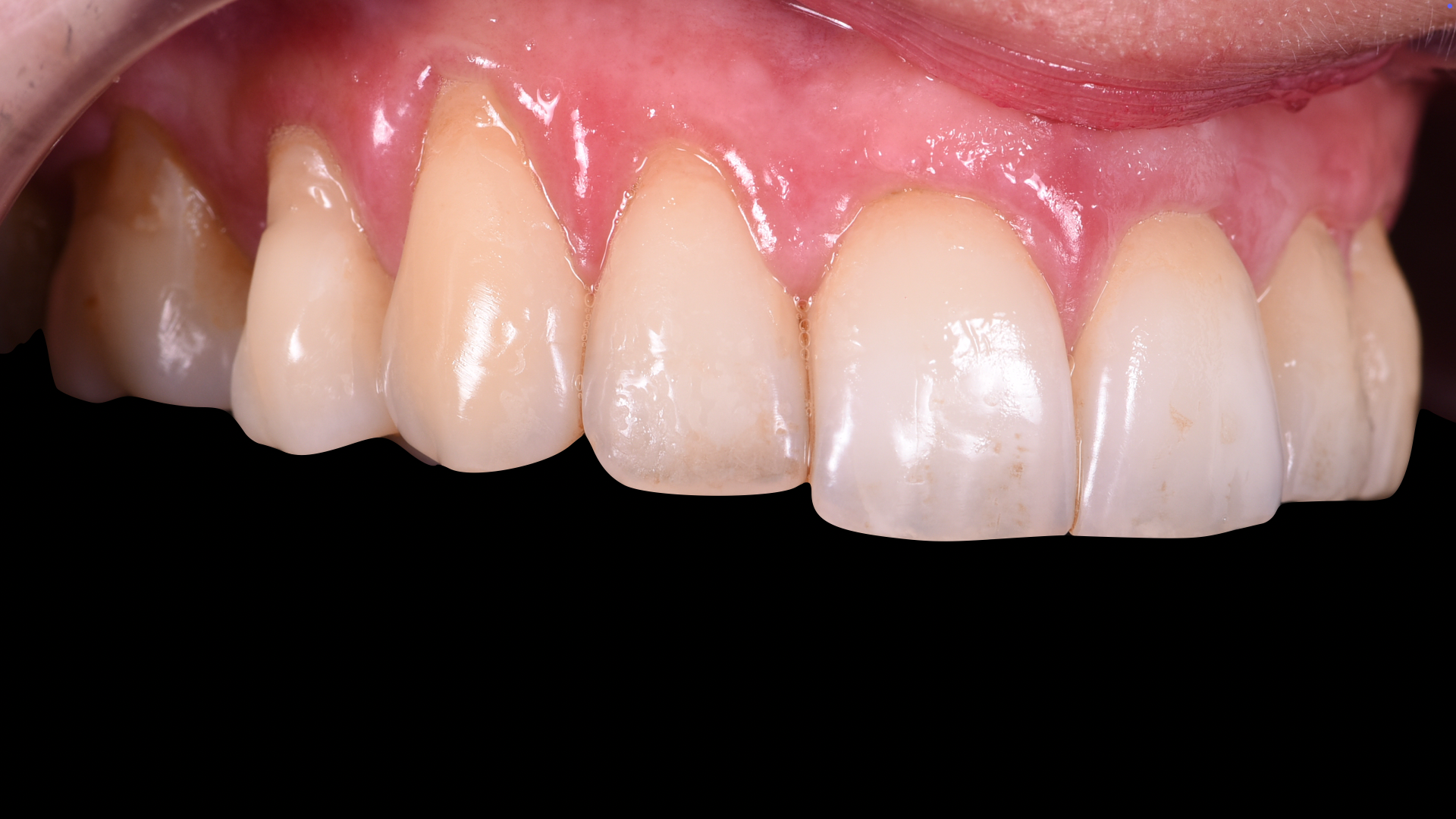
This patient came to us feeling self-conscious about her smile. She had gum recession on the upper right side, caused by previous orthodontic treatment, a bite imbalance, and naturally thin gums. In addition, she wasn’t fully happy with the color and overall appearance of her teeth.
Our goal was to restore both health and confidence — using a minimally invasive, natural-looking approach.
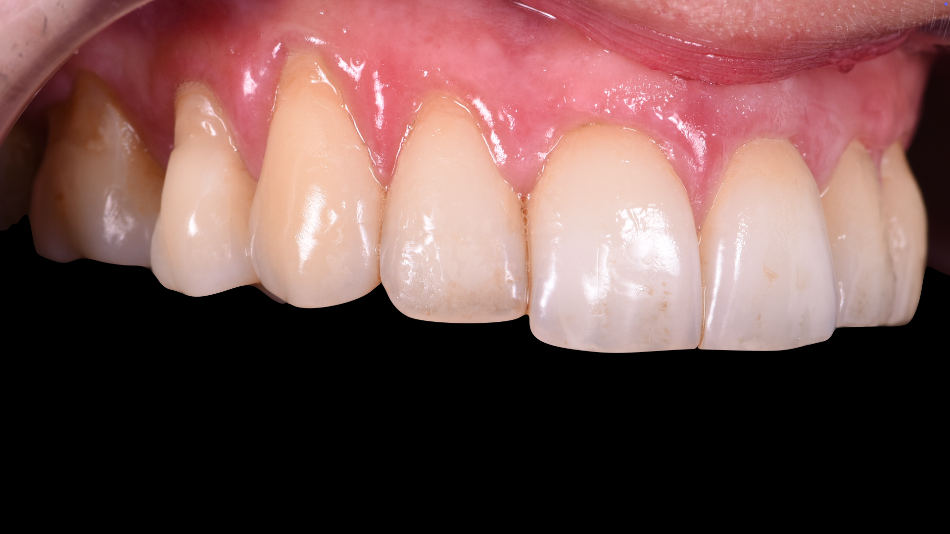
We started by gently rebuilding her gumline through a specialized soft tissue procedure, using a small piece of her own tissue to cover the exposed roots and create a more even and healthy gum contour.
Next, we brightened her smile using a professional whitening protocol, both in-office and at home, to safely enhance her natural tooth color.
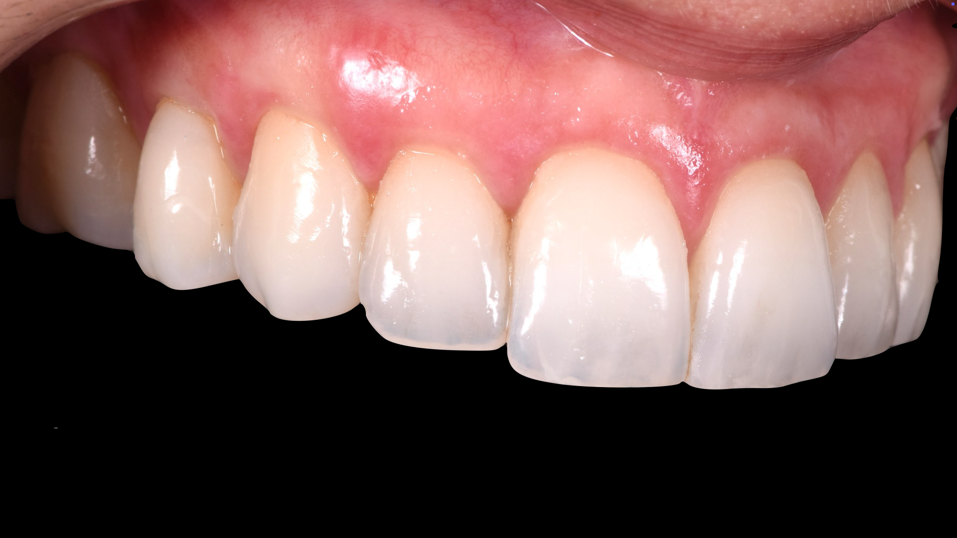
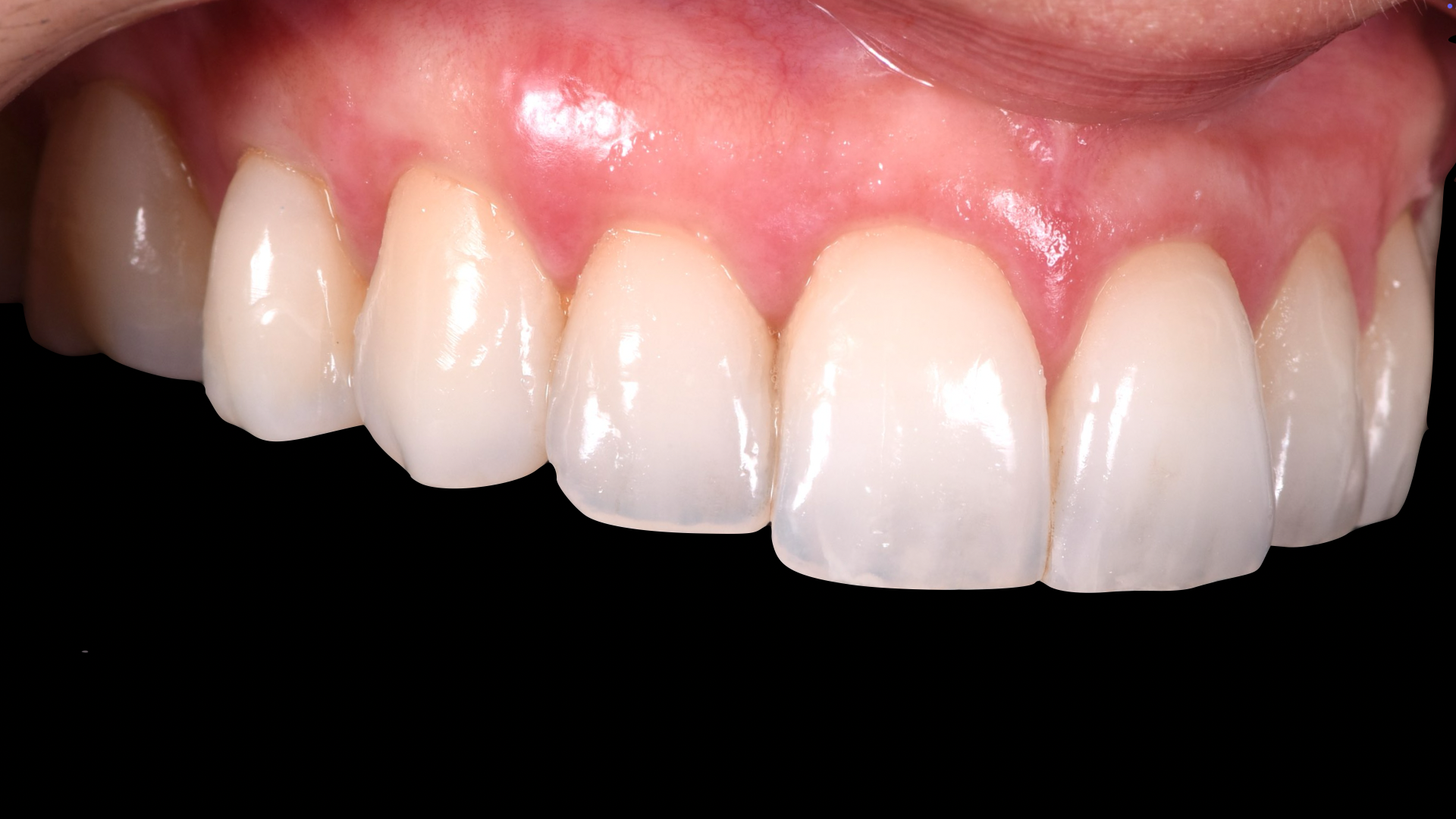
Final result
To complete the transformation, we added ultra-thin porcelain pieces — also known as ceramic “fragments” — to the front surface of selected teeth. These helped replace the worn enamel near the gumline and gave her smile a fresh, harmonious look.
The final result is subtle, natural, and long-lasting — a perfect example of how small, thoughtful changes can lead to a big boost in confidence.





