Kate is young, creative, and building her career in fashion and acting—an industry where your smile becomes part of how you express yourself and how the world sees you.
When she first came to see me, she already had veneers. On paper, everything was “done.” But in reality, something wasn’t right.
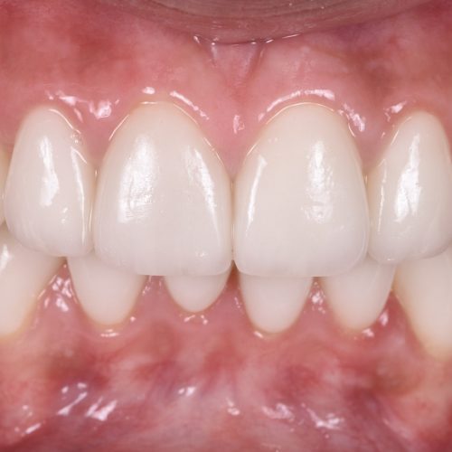
At first glance, her smile looked white and uniform. But the more you looked, the more you could feel that it lacked elegance, softness, and natural harmony. The teeth were too bulky, too thick, too dense, and they didn’t truly belong to her face.
More importantly, her gums were constantly inflamed and bleeding. That’s not just an aesthetic issue—that’s a health issue.
When Veneers Forget About Biology
A beautiful smile is not just about white teeth.
Kate’s previous veneers weren’t properly adapted to her gums. Because they were over-contoured and poorly fitted, plaque and bacteria accumulated around them. Over time, this caused:
Red, swollen gums
Bleeding when brushing
Discomfort
A smile that felt “fake” rather than effortless
This is something we see more often than people realize:
veneers done with no real smile design vision and little respect for biology.
Teeth can look white and still be unhealthy.
Before: no real smile design vision
Rethinking Her Smile From the Beginning
Kate didn’t want “new veneers.”
She wanted her smile back—but better, healthier, and more refined.
So we took a step back and started from zero:
Respecting her facial features
Designing teeth with correct proportions
Creating smooth, clean transitions between teeth and gums
Making sure her gums could stay healthy long-term
The goal was simple:
A smile that looks natural up close, elegant in photos, and healthy every single day.
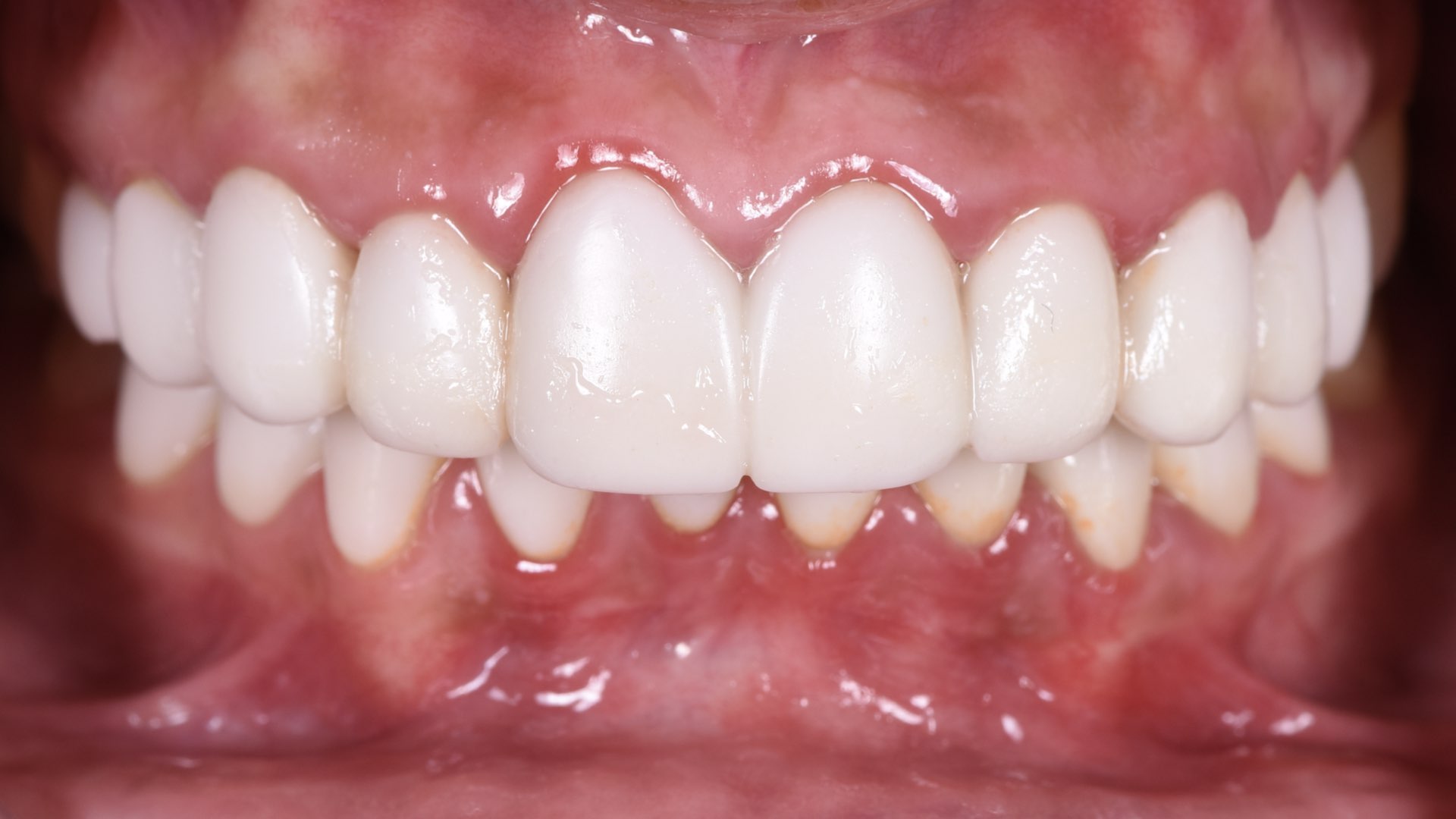
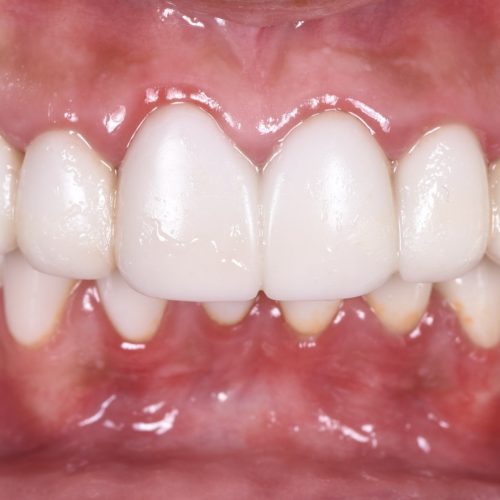
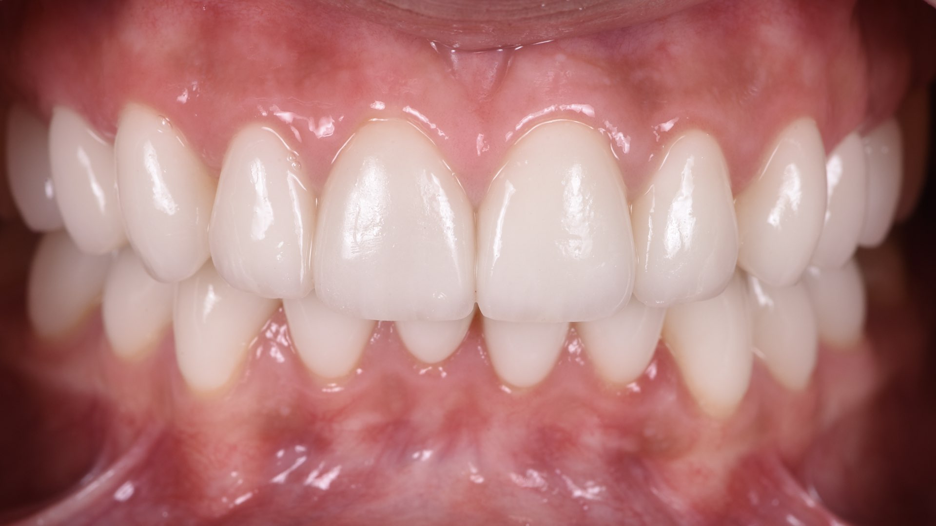
After: A beautiful smile
Three Years Later: The Real Result
The most important part of Kate’s story isn’t how her smile looked the day we finished treatment.
It’s how it looks three years later.
Her gums are calm and healthy.
Her teeth feel light, natural, and part of her—not something “placed on top.”
And her confidence? Completely different.
A Beautiful Smile Should Never Compromise Health
This is what proper smile design is really about.
Not trends.
Not overly white teeth.
Not copying someone else’s smile.
A well-designed smile should:
Respect your biology
Protect your gums
Age well over time
And quietly enhance who you already are
Kate’s journey is a perfect reminder that a beautiful smile and a healthy smile should always be the same thing.
And when they are, confidence follows naturall

Smile design is not about making teeth whiter or bigger — it’s about restoring harmony, health, and authenticity. Kate’s case reminds us that true aesthetic dentistry begins with respecting biology. When teeth and gums work together naturally, confidence follows effortlessly and stands the test of time.





