Case _

Single implant restoration

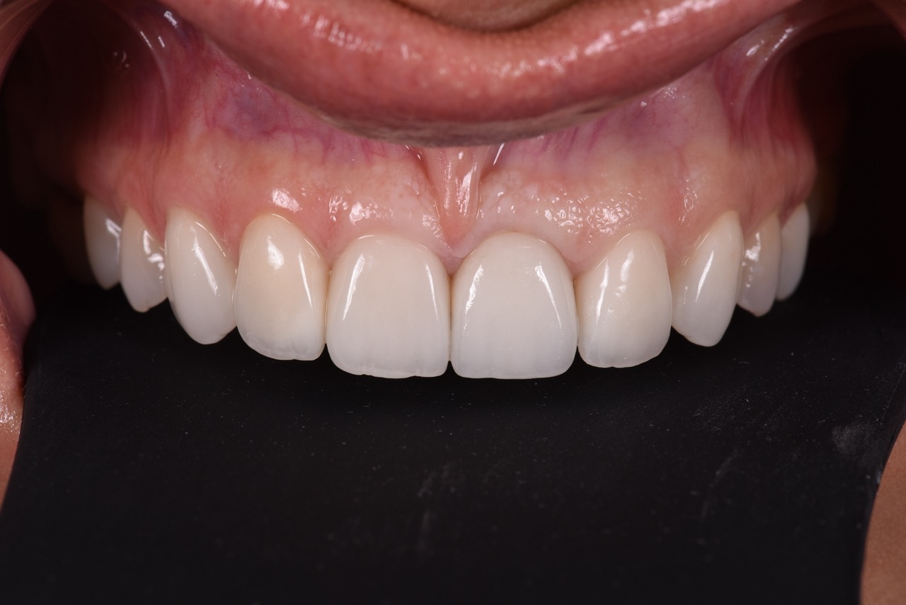
Immediate Implant and Soft Tissue Preservation After Central Incisor Trauma

This patient came to us after suffering a traumatic fracture of her upper left central incisor. Unfortunately, the tooth was beyond repair. Given the esthetic importance of the area and the patient’s desire for a natural, lasting result, we developed a carefully planned, minimally invasive treatment approach.

We began with an atraumatic extraction using a surgical device specifically designed to preserve both the surrounding bone and soft tissue. Immediately after the extraction, we placed a dental implant in the same position and stabilized it with a temporary crown — fabricated using the patient’s own natural tooth to perfectly match the shape, size, and color.

To optimize long-term esthetics and maintain natural gum contours, we simultaneously performed:

  • Bone grafting using a biomaterial to support the socket
  • A connective tissue graft harvested from the patient to preserve the gingival profile and volume
01
02
03
04
05

Once healing was complete, the final ceramic crown was placed — blending seamlessly with the surrounding dentition and restoring both function and esthetics with exceptional precision.

This case illustrates the power of interdisciplinary implant dentistry — combining surgical accuracy, soft tissue management, and restorative artistry for a result that looks and feels completely natural.

before_dental_implant_restoration DSC_7807_dental_implant_restoration
.elementor-element-b86173d .wgl-image_comparison.cocoen .cocoen-drag::before, .elementor-element-b86173d .wgl-image_comparison.cocoen .cocoen-drag::after{ background-image: url('data:image/svg+xml; utf8, %3Csvg xmlns="http://www.w3.org/2000/svg" width="512" height="512" x="0" y="0" viewBox="0 0 451.847 451.847" preserveAspectRatio="none" fill="%23181818" style="opacity: 1;"%3E%3Cpath d="M225.923,354.706c-8.098,0-16.195-3.092-22.369-9.263L9.27,151.157c-12.359-12.359-12.359-32.397,0-44.751 c12.354-12.354,32.388-12.354,44.748,0l171.905,171.915l171.906-171.909c12.359-12.354,32.391-12.354,44.744,0 c12.365,12.354,12.365,32.392,0,44.751L248.292,345.449C242.115,351.621,234.018,354.706,225.923,354.706z"%3E%3C/path%3E%3C/svg%3E'); }