A refined, natural result that prioritizes gum health, harmony, and long-term beauty.

The process
Kate came to our clinic with existing veneers that looked correct at first glance, yet felt unnatural and caused constant gum inflammation. Although her smile appeared white and uniform, it lacked softness, balance, and biological harmony.
Rather than simply replacing the veneers, we took a step back and redesigned her smile from the beginning—respecting facial proportions, correct tooth contours, and healthy gum integration.

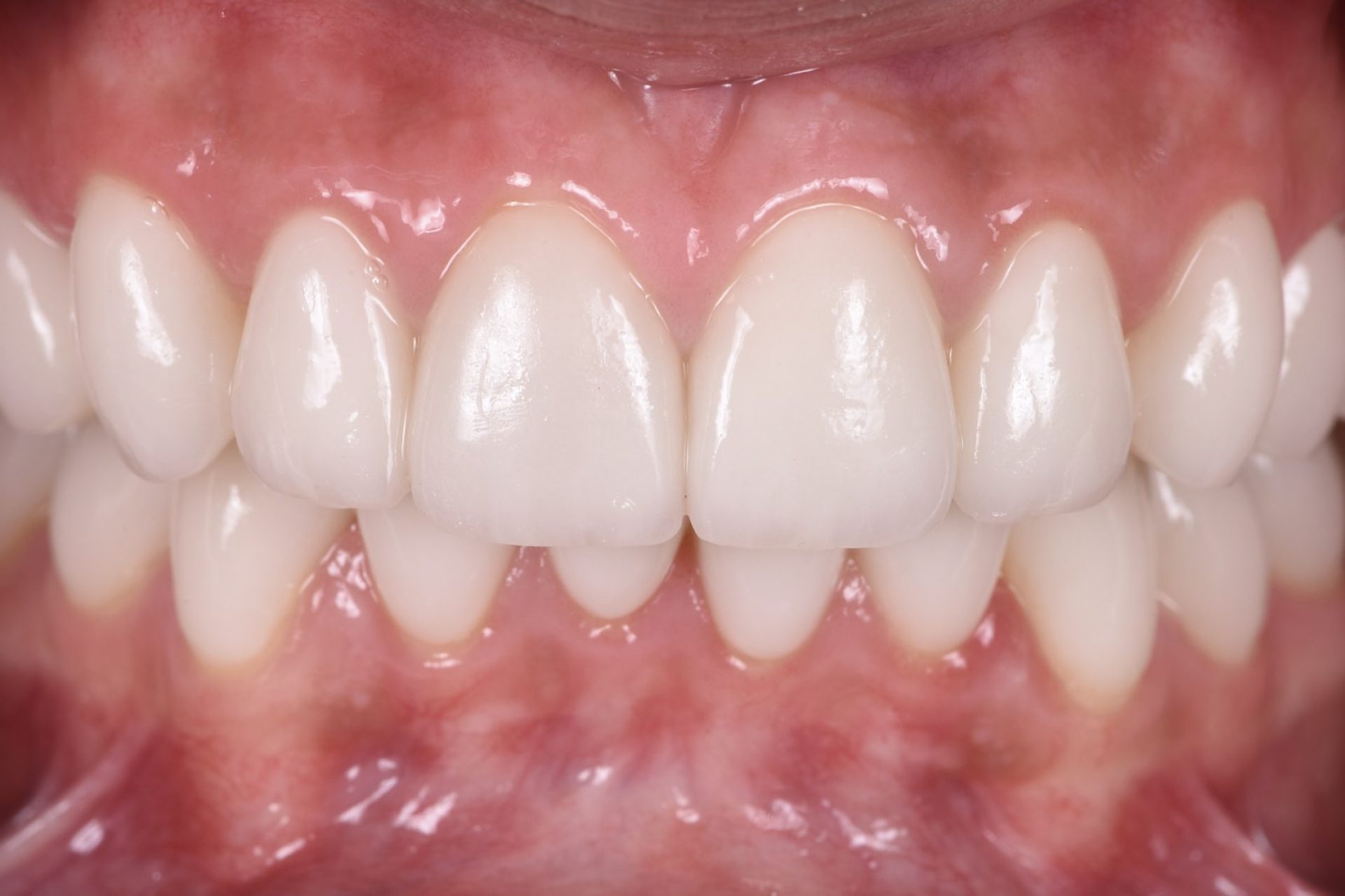
Final result
Three years later, the result speaks for itself: calm, healthy gums and a smile that feels light, natural, and truly hers.
Kate’s case highlights the essence of aesthetic dentistry: a beautiful smile should never compromise health. True smile design respects biology, ages gracefully, and quietly enhances who you are.



